MV

肺炎について

咳嗽(がいそう)外来のご案内

肺炎について

病原性微生物が侵入しておこる肺炎について解説します。感染症としての肺炎は肺内に病原体が入って繁殖することで発症します。
進入の経路は通常は鼻から咽頭→喉頭→気管→気管支→肺と入って行きます。

肺炎の症状

発熱、咳、痰、胸痛、呼吸困難など

肺炎に対する防衛機構

鼻毛が最初のフィルターです。ゴミや菌をある程度は止めることができます。
鼻は空気に湿気を与えて異物や菌が素通りできないようにもします。
また、マスクには異物や菌をとめる他に加湿して気道系粘膜をまもる機能があります。

次に咽頭周囲の扁桃が免疫反応をおこします。気管の入り口を囲んで存在します。
鼻からの進入は咽頭扁桃が、口からは口蓋扁桃や舌扁桃が対応し、耳への進入は耳管扁桃が防ぐとされています。
扁桃内ではリンパ球や顆粒白血球が働いています。相対的に小児期に大きくなります。中学校くらいから自然に小さくなります。

気道上皮の繊毛運動も菌を防ぐ大事なメカニズムです。
また、ここにとどまっている間にうがいなどで清浄化できれば気道への進入が防げます。

カゼウィルスやインフルエンザウィルスは咽頭部まで到着し、粘膜の免疫機能を損傷します。
すると通常は感染をおこさない常在菌と言われる菌が繁殖しコロニーと呼ばれる菌の塊をつくります。
これが病巣として下気道に飛んでいって感染を起こすと気管支炎や肺炎になります。
気道の常在菌には肺炎球菌、肺炎桿菌、インフルエンザ桿菌、黄色ブドウ球菌、連鎖球菌、緑膿菌などがあります。
これらの菌は通常状態では感染症を起こしません。カゼのウィルスが生体の防衛網を壊すことで一般の菌が侵入し安い状態になります。
そして感染が重症化することがあります。カゼの引き始めでの対応が必要な理由です。

肺炎は市中肺炎と病院肺炎に分けられます。市中肺炎は健康な人がかかる率の高い肺炎です。
比較的若年者が多く、また、マイコプラズマ肺炎などの非定型肺炎といわれる肺炎の比率が高くなります。
病院肺炎は抵抗力の落ちている入院患者がかかりやすい肺炎です。耐性菌の占める率が高くなります。
老人性肺炎や重症肺炎などとする分け方も治療する上で必要性になります。

肺炎の診断は胸部XP写真が最も迅速で、かつ、有効です。治療や経過の判定には喀痰菌検査、血液検査も必要です。
白血球数とCRPは炎症反応のマーカーとして有用です。

肺炎の原因菌の同定には抗体反応を使った迅速検査キットがあります。インフルエンザ抗体A,Bはよく使われます。
微生物迅速検査法の対象菌は溶血性連鎖球菌、肺炎球菌、肺マイコプラズマ、レジオネラです。
対象範囲は今後も拡大すると思われます。治療の選択に非常に有用です。
痰からの培養検査は時間がかかるため罹患早期の治療選択には間に合いませんが、菌の確実な同定や耐性菌の判定に必要です。

肺炎は高齢者では死亡原因の上位を占めており、診察時に外来で通院治療可能か入院を要するかの判定をする必要があります。
そのため重症肺炎の診断基準があります。

肺炎の重症度

男性70 歳、女性75 歳以上
BUN 21mg/dl 以上、または、脱水状態
SpO2 90%以下、または、PaO2 60mmHg 以下
意識障害
収縮期血圧90mmHg 以下

軽症肺炎

いずれも該当しない → 外来通院可能

中等度肺炎

1~2個有する → 入院または外来

重症肺炎

3個有する → 入院

超重症肺炎

4個以上 → ICU

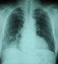
肺炎の胸部X線写真
  • 1. 肺炎球菌性肺炎の胸部Xp写真を示します。
  • 2. 右肺下葉に浸潤影を認めます。
  • 3. 主訴は発熱、全身倦怠感、咳、喀痰です。

肺炎の予防

1. 手洗い・うがいの励行

肺炎の原因菌は大部分が接触で運ばれて、口腔内に定着し免疫能の低下にともない肺内に侵入します。
手で菌を運ばないようにして、口腔内の菌をうがいでできるだけ減らせば感染の可能性は大きく減ります。

2. 肺炎球菌ワクチンを注射する。

免疫力の落ちている摘脾患者や心・呼吸器慢性疾患患者、腎不全、肝機能障害、糖尿病および高齢者は適応があります。
よくつかわれるニューモバックスは5年以上有効です。

3. インフルエンザワクチンを注射する。

当たり外れがあると言われますが、有効性は確認されています。

4. インフルエンザ菌ワクチンを注射する。

アメリカでは幼児の髄膜炎、高齢者の呼吸器感染症予防目的に使われています。日本ではまだ未承認です。

肺炎は慢性疾患患者や高齢者にとって危険な病気です。まず予防して、かかったら重症化する前に早めに治療しましょう。